
比较C57BL/6小鼠胶原诱导关节炎(CIA)和抗原诱导关节炎(AIA)的成功率关节炎进展有什么不同?...
2021-05-31
介绍体外封闭和阻断股动脉血流的改良方法,建立简单、可控、可靠的肢体缺血再灌注损伤(LIRI)大鼠模型?...
2021-05-31
非侵入性生物体内建立绿色荧光蛋白(GFP)/荧光素酶(Luc)双标记人食管癌ECA109细胞系(ECA109-LucGFP)并监测食管癌裸鼠肿瘤模型...
2021-05-31
检测小尾颅骨缺损模型颅骨组织中Dlx2基因的表达情况,探讨其在颅骨缺损中的重要性?...
2021-05-31
如何建立高脂高盐饮食的巴马小型猪高血压模型并探讨其可能的发病机制?...
2021-05-28
肿瘤组织异种移植(PDX)模型在遗传学、病理学和生物学特性等方面与患者的原发肿瘤具有较好的相似性,药物临床反应一致性高,在肿瘤个体化治疗领域显示出良好的应用前景...
2021-05-28
支气管哮喘是一种常见的慢性气道炎性疾病,其特征是长期复发...
2021-05-28
观察链脲佐菌素(STZ)诱导的糖尿病大鼠模型中肠道菌群结构和丰度的变化...
2021-05-28
建立高保真前列腺癌PDX模型是前列腺癌生物学和药物治疗研究的基础...
2021-05-28
在日本,病毒感染是导致传染病死亡的主要原因。建立能够有效模拟人病毒传播的动物模型对于研究致病机理和预防病毒感染至关重要...
2021-05-28
使用去污酶方法(包括脱氧胆酸钠/脱氧核糖核酸洗脱液),从成年新西兰白兔中取出半同种异体移植,并按要求进行多次洗脱(第1组,n = 7)。另一组作为对照保存在4°C的磷酸盐缓冲盐水中(第2组,n = 7)...
2021-05-28
如何建立雄性和雌性氟中毒大鼠动物模型并研究氟中毒的性别差异?...
2021-05-27
越来越多的证据表明肠道菌群的组成与大肠癌的发展密切相关...
2021-05-27
糖皮质激素是肾上腺皮质筋膜分泌的类固醇激素,也可以通过化学方法人工合成...
2021-05-27
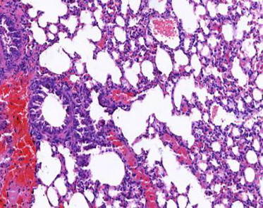
探讨铜绿假单胞菌肺炎大鼠模型的建立,为后续研究提供实验依据...
2021-05-27
代谢综合征的特征是至少发展出三种疾病:肥胖,高血糖,高血压或血脂异常...
2021-05-27