
建立改良的严重外伤性失血性休克大鼠模型,探讨麻醉对建立STHS大鼠模型的保护作用...
2021-06-08
通过流质饮食建立小鼠酒精性心肌病模型,为研究酒精性心肌病发病机制提供优良的动物模型...
2021-06-08
2019 年 12 月,中国确诊不明原因肺炎。中国疾病预防控制中心(CCDC)已将新型冠状病毒感染确定为此次肺炎的病因...
2021-06-08
北京大学分子医学研究所成功建立了*个活体心脏中过氧化氢(H2O2)信号的荧光报告系统,揭示了H2O2-Dusp6-pERK信号调节斑马鱼心脏再生。...
2021-06-07
了解小鼠腹腔巨噬细胞吞噬现象的原理...
2021-06-07
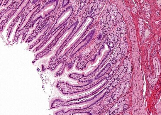
据外媒报道,美国科学家已成功在小鼠体内培养出功能齐全的人体肠道组织,这项研究的突破可能会在未来导致数千种肠道疾病...
2021-06-07
用散发性阿尔茨海默病患者的脑匀浆接种小鼠可导致脑淀粉样蛋白沉积在受体上,这表明 β-淀粉样蛋白 (Aβ) 肽可以作为朊病毒自我增殖...
2021-06-07
虽然有报道称,化疗主要用于治疗白血病,但骨髓中的白血病干细胞难以清除,白血病复发的可能性较大...
2021-06-07
人类适应性免疫系统在癌症的控制中发挥着重要作用,现已得到广泛认可,人们正致力于开发有效的靶向癌症免疫疗法...
2021-06-07
澳大利亚新南威尔士大学医学院的研究人员使用一种称为电基因传递的基因疗法,该疗法使用电场将基因传递限制在 co co co 牛电极附近...
2021-06-07
肩袖肌腱损伤是急性和慢性肩部疼痛和活动范围受限的主要原因...
2021-06-04
急性脊髓损伤是一种致残率高、后果严重的中枢神经系统性损伤, 给个人、家庭以及社会带来了沉重的负担...
2021-06-04
食物过敏正迅速成为一个全球性的健康问题,食物过敏反应由无害的食物特异性 Th2 反应引起,导致 IgE 介导的肥大细胞脱颗粒和相关炎症...
2021-06-04
筛选和比较卵巢过度刺激综合征大鼠模型的建立方法,为OHSS机制的研究和治疗药物的开发提供优良的动物模型...
2021-06-04
多发性硬化症 (MS) 是一种中枢神经系统的慢性炎症性脱髓鞘疾病。这是临床神经系统的一种困难而严重的疾病...
2021-06-03
利用患者源性透明细胞肾细胞癌(ccRCC)细胞(患者源性细胞,PDC)建立患者源性肿瘤异种移植模型(PDX模型),检测ccRCCPDC对分子靶向药物的敏感性...
2021-06-03