
观察白介素22(IL-22)在哮喘模型中的作用,并研究哮喘模型中气道炎症和布地奈德对IL-22的调节作用...
2021-10-27
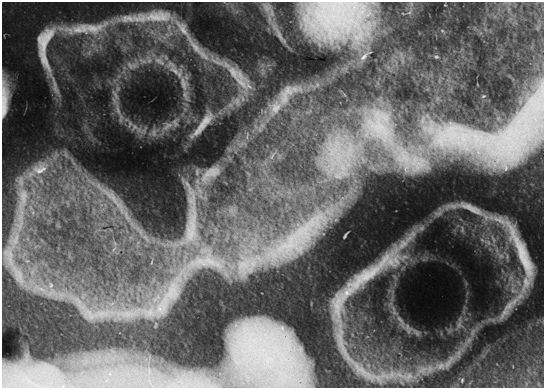
在一项新的研究中,香港大学和中国科学技术大学的研究人员报告说,源自Vδ2-T细胞的外泌体(以下简称Vδ2-T-Exos)可以有效地控制EB病毒(EBV)...
2021-10-27
繁殖方法将55-60g的幼鼠在一个笼子中繁殖。将5%对苯二甲酸(TPA)添加到标准大鼠饮食中,并使用实验饮食连续连续14天给大鼠喂食...
2021-10-27
探讨肾血管性高血压大鼠(RHR) 血清、脑及血管组织中基质金属蛋白酶9(MMP-9) 和组织型基质金属蛋白酶抑制因子1(TIMP-1)的表达以及血压与两者的关系...
2021-10-27
通过避暗和Morris水迷宫实验研究建立小鼠学习记忆损伤模型的有效方法...
2021-10-27
如何建立足底电击致大鼠内脏超敏反应动物模型并评价其有效性和益处?...
2021-10-27
探讨乳化碳氟化合物与利格列汀联合使用对肺缺血再灌注损伤的作用及其机制...
2021-10-26
胃癌是世界上*常见的第四种恶性肿瘤,也是仅次于肺癌的第二大癌症死亡原因。虽然目前诊断和治疗方法已明显延长了早期胃癌患者的预后,但各期胃癌患者确诊后5年生存率均<50%...
2021-10-26
探讨实验兔肝动脉插管的路径和方法...
2021-10-26
建立骨髓注射治疗肺转移和术后复发模型,阐明骨髓注射建立的模型的优越性和可行性,为研究恶性肿瘤的肺转移提供新的研究基础...
2021-10-26
如何建立小鼠肺腺瘤模型并进行血生化、血常规、尿常规、病理检查...
2021-10-26
探讨用激光多普勒血流监测技术建立稳定的大鼠中脑动脉栓塞性脑梗死模型的可行性...
2021-10-26
使用体重250-350 g的健康雄性SD大鼠。 (1)复制方法使用主观观察指标(大鼠一般状况的变化,跑步姿势的变化,运动表现的变化)来确定动物是否感到疲劳和疲劳,判断感觉的程度...
2021-10-26
探讨一系列方法治疗小猪慢性心肌缺血模型的可行性,在模型中,手术将乳突狭窄环置于针的左前降支动脉中?...
2021-10-26
宫内生长受限(IUGR)是否以新生儿低出生体重的形式表现出来?通过三种常用的实验方法建立IUGR模型,并通过实验数据的比较和分析建立科学研究中的IUGR模型...
2021-10-26
研究人员使用一种技术来“剪掉”导致进行性耳聋的基因突变后...
2021-10-26