
观察和比较不同性别和注射剂量对异丙肾上腺素(ISO)引起的大鼠心肌肥大的影响...
2021-11-03
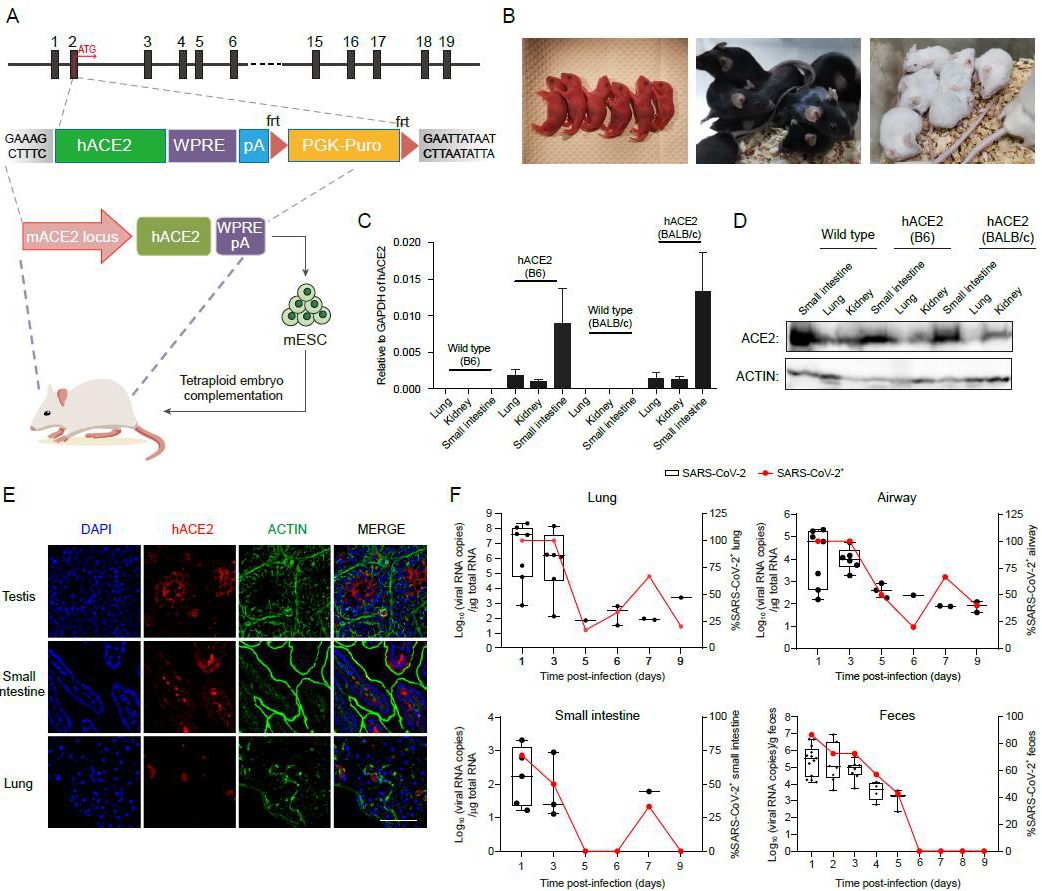
为打赢抗击新冠肺炎疫情之战,制备用于新冠肺炎药物开发和疫苗测试的动物模型迫在眉睫...
2021-11-03
饲养方法将成年大鼠禁食24小时,不浇水2小时,麻醉以打开腹部,暴露十二指肠,将内径为3至6 mm的玻璃管或乳胶管放置在靠近大鼠的地方...
2021-11-03
急性缺血会延迟心房缺血区域的冲动传导,促进折返,并导致心房颤动的发展...
2021-11-03
肝脏是结直肠癌转移的主要靶器官,结直肠癌肝转移也是结直肠癌患者死亡的主要原因...
2021-11-03
微型猪在动脉解剖和生理方面与人类非常相似,是目前研究动脉粥样硬化(AS)相关疾病*理想的模型...
2021-11-03
建立C57BL/6小鼠抑郁模型,初步探究莫扎特K448奏鸣曲中的高频段声波改善C57BL/6 小鼠抑郁症状的效果...
2021-11-03
BALB/c小鼠,放置在每升空气中含有5mg的氯仿的环境中,持续3h后,可引起不同程度的肾坏死...
2021-11-03
由于糖皮质激素的扩散,激素性股骨头坏死的发生率逐年增加,但其病因和预防措施仍不清楚...
2021-11-03
细胞的吞噬作用在单细胞动物是摄取营养物质的方式,在高等动物内的巨噬细胞、单核细胞和中性粒细胞等具有吞噬功能,是机体非特异性免疫功能的重要组成部分...
2021-11-03
建立改良的重度创伤性休克休克(STHS)大鼠模型,探讨麻醉对STHS大鼠模型的保护作用...
2021-11-03
这项研究旨在探讨玫瑰和奶油对褥疮大鼠肉芽组织中纤连蛋白(FN)和碱性成纤维细胞生长因子(BFGF)水平的影响的机制吗?...
2021-11-03
您是否观察到影响血糖水平的体重增加和减少的正常特征?...
2021-11-03
检索不同面瘫动物模型的相关文献,分析不同模型制备方法的优缺点,探讨适合不同研究类型的制备方法,考察面瘫动物模型,为制备提供实验依据...
2021-11-03
比较不同剂量的四氯化碳诱导不相干的C57BL/6小鼠肝纤维化的作用,建立稳定的肝纤维化模型...
2021-11-03
建立中药安全评价中心(CLP)屏障环境动物实验室的正常SD大鼠在长期毒性试验中的生物学指标,为以后研究人员提供参考指标...
2021-11-02